深圳諾德口腔門診部

共有 13 名牙醫(yī) 15 個牙科項目 4 例手術分享

深圳諾德齒科金屬托槽矯正價格低到6800起,韓國種植牙4800起

編輯:新玥 更新時間:2025-04-27 22:44:56 來源:深圳諾德口腔 閱讀:

深圳諾德齒科做牙齒矯正有優(yōu)惠哦,可以9.9元體驗網紅黑科技口掃儀,88元體驗超聲波潔牙,還可以免費做正畸術前檢查,諾德齒科的醫(yī)生一對一看診,更多優(yōu)惠內容,請看下文!

如果你因為牙齒不齊不敢大笑,那就去做牙齒矯正吧!因為取模拍片太麻煩、不舒服或者擔心不知道矯正后是什么樣子的,諾德齒科的網紅黑科技口掃儀都可以幫你解決,還可以預知矯正效果。諾德做牙齒矯正還有優(yōu)惠,其中金屬托槽矯正才6800元起,韓國進口種植牙價格4800起。

深圳諾德齒科金屬托槽矯正價格

諾德齒科牙齒矯正和種植牙價格分享:

牙齒矯正價格——青少年金屬托槽矯正:6800元起

種植牙價格——韓國進口種植牙:4800元/顆起

諾德口腔金屬托槽矯正圖片

來諾德齒科做牙齒矯正還可享受多重優(yōu)惠——9.9元體驗網紅黑科技口掃儀!

1、參加本次活動的客戶均可享受88元超聲波潔牙(門診價360元);

2、預約客戶可享受免費拍片以及免費口腔檢查(陪同的親戚/朋友也可以享受);

3、9.9元體驗網紅黑科技口掃儀(限額100名);

4、免費做正畸術前檢查(由諾德齒科的正畸醫(yī)生一對一看診)。

諾德口腔口掃儀

諾德口腔牙齒擁擠+牙縫過大矯正案例分享!

案例一:

牙齒癥狀:牙齒擁擠不齊

矯正方式:隱適美隱形矯正

諾德齒科牙齒擁擠不齊矯正案例圖

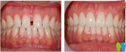
案例二:

牙齒癥狀:牙縫過大

矯正方式:金屬托槽矯正

諾德口腔牙縫過大矯正案例圖

接下來,給大家科普一下網紅黑科技口掃儀吧!

什么是口掃儀?

網紅黑科技口掃儀,顛覆了傳統制取印模、翻制石膏模型的操作流程,省掉了大量繁瑣的操作步驟,整個治療過程只需一個光學探頭放在口腔內取像,便可清晰記錄每顆牙齒的準確數據,實現更加高效、更精準、更舒適、更便利的治療過程。

諾德齒科網紅黑科技口掃

矯正效果可提前預知!

采用三維立體圖像快速成型技術,在矯正前即可在計算機模擬出整個矯正過程中求美者牙頜的變化過程和治療后的效果,實現矯正過程的仿真預測,為求美者提供更好的治療方案。

諾德口腔矯正效果圖示

小編今天就說到這了,想要了解更多正畸內容的,可以通過網絡咨詢哦!趕緊報名預約吧!

口腔相關項目價格表:

項目 價格范圍(元)
烤瓷牙補牙 2289左右
牙齒脫落 - 種植牙 2390-32590左右
活動假牙 - 全口活動假牙 2858-20460左右
活動假牙 - 半口活動假牙 2858-20460左右
假牙 - 固定假牙 3088+
假牙 - 橋接假牙 3088+

相關推薦

深圳諾德口腔聯系方式

地址:
寶安旗艦店:深圳寶安區(qū)寶民二路128號1-2樓(港隆城對面)
南新旗艦院:深圳南山區(qū)深南大道英達玉龍園一層A10
鹽田旗艦店:深圳鹽田區(qū)萬科壹海城一區(qū)三樓
后海旗艦院:深圳南山區(qū)中心路卓名越維港苑(南區(qū))裙樓一層
西麗旗艦院:深圳南山區(qū)麗山路379號美康百貨201一202(大學城地鐵站C出口)
羅湖旗艦店:深圳羅湖區(qū)怡景路11號峰景臺大廈(地鐵怡景站B出口)
福田旗艦店:深圳福田區(qū)深南大道6021號喜年中心B棟201一A
坪洲旗艦院:深圳寶安區(qū)西鄉(xiāng)街道輕鐵西花園1巷2號(坪洲地鐵站C出口)
觀瀾旗艦院:深圳市龍華區(qū)福城街道新和社區(qū)知寓·福城公館二樓(長湖地鐵站D出口)

本院推薦醫(yī)生

深圳諾德口腔門診部韋柳菊

韋柳菊

擅長:種植牙,烤瓷牙,齲齒,根管治療,牙齒美白,牙齒矯正,全瓷牙,牙套,拔牙,洗牙,地包天,活動義齒,補牙
深圳諾德口腔門診部徐昌豪

徐昌豪

擅長:烤瓷牙,齲齒,根管治療,牙齒美白,牙齒矯正,全瓷牙,牙套,拔牙,洗牙,地包天,活動義齒,補牙
深圳諾德口腔門診部文梁

文梁

擅長:種植牙,烤瓷牙,齲齒,根管治療,牙齒美白,牙齒矯正,全瓷牙,牙套,拔牙,洗牙,地包天,活動義齒,補牙
深圳諾德口腔門診部周森

周森

擅長:種植牙,烤瓷牙,齲齒,根管治療,牙齒美白,牙齒矯正,全瓷牙,牙套,拔牙,洗牙,地包天,活動義齒,補牙
深圳諾德口腔門診部呂盼華

呂盼華

擅長:種植牙,烤瓷牙,齲齒,根管治療,牙齒美白,全瓷牙,牙套,拔牙,洗牙,活動義齒,補牙

醫(yī)院新聞

本院手術網友分享

聯系我們   用戶協議   網站介紹   網站地圖   移動版 粵ICP備19104784號-2

熱點關注: A B C D E F G H I J K L M N O P Q R S T U V W X Y Z

Copyright©2008-2025 開立特口腔http://gh0097.com 本站內容來自于互聯網網友分享,不作為診斷依據。如有侵權請 投訴反饋處理,將在三個工作日刪除。

口腔醫(yī)院排名依據用戶訪問量、口碑評價、用戶提問等數據綜合得出,不代表醫(yī)院技術與醫(yī)療效果,請至醫(yī)院實地考察